A medical team was left speechless when faced with an unparalleled case.
A 15-month-old girl was taken to hospital after her stomach swelled a lot, although she could not keep food or liquids in it. Her parents were poor but hardworking, they ignored this problem as much as they could, hoping that one day it would go away on its own. When they realized it wasn’t going to go away, they knew they needed help.

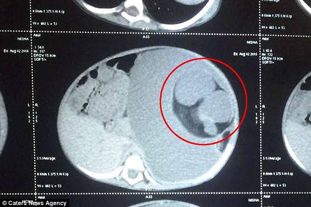
The doctors believed, at first sight, that the little girl definitely has a tumor in her abdomen, so they put her, after a few tests, directly in the operation. But the surgeon couldn’t believe what he found as soon as they cut the little girl. It wasn’t a tumor, it was her own twin brother.
This type of meal is called “parasitic brother” and had been attached to the girl’s stomach since her mother’s womb, feeding on the girl! The disease is also called “Fetus in fetus” and is very rare, there were only 200 such cases worldwide.
The mass that exists in these children usually has bones, muscles, and hair. The surgeons removed it from the girl’s stomach and then weighed her, she weighed over 3 kilograms, the weight of a baby at birth!

It seems that the operation was complicated by the fact that some organs of the face were joined with the organs of the parasitic twin, here is what the surgeon said: there were blood vessels all over the structure. So we had to remove blood vessels and move the organs, to separate them from the fetus, without damaging them ”.
Before the operation, the baby weighed 8 kilograms, after the operation, she lost almost half of her weight.
Here’s what they got out of her:
