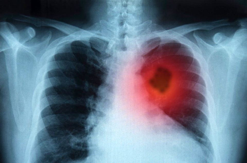
He found out a few years ago that he suffers from lung cancer. When he got to the doctor, his condition was very serious, so the doctors told him he had no chance. However, the man did not give up and cured himself of cancer.

Ante Kresich found out a few years ago that he suffers from lung cancer. When he got to the doctor, his condition was very serious, so the doctors told him he had no chance. However, the man did not give up and cured himself of cancer. Look what he did!

Ante said: “I left the hospital in April, and in the summer I was already a different man. When I went to the doctor, he couldn’t believe I was still alive. And the doctors couldn’t believe it when they saw the results of the tests I did.

After a thorough set of tests, the man no longer had cancer. Now, those who see him cannot believe that he suffered from terminal cancer. Now, the man declares himself full of energy, thanks to the recipe he followed and which helped him to get well.

Here is the miraculous recipe that cured him of cancer.

You only need two ingredients:
-2 large roots of organic ginger, which you cut into small pieces
-2 cups of organic honey

Put the two ingredients in a glass jar and take a teaspoon of this mixture 3-4 times a day. It is advisable to use a wooden or plastic spoon, not a metal one.